![]()
Leukociti su bijela krvna
zrnca koja nastaju u koštanoj srži i limfnim čvorovima. Promjer im je oko 8-12
mikrometara. Razlikuju se prema izgledu, fnkciji, zastupljenosti i mjestu
nastanka. Broj leukocta kod zdravih osoba se kreće od 5-8*10000000000 u 1 cm³
krvi. Uloga leukocita je mnogostruka: fagocitoza je sposobnost da unesu
bakterije u svoju citoplazmu, da ih probavi i da stvara antitijela, a sekretorna
aktivnost je sposobnost leukocita da stvaraju enzime, heparin i histamin.
Leukociti sadrže oko 80 % vode, velike količine glikogena koje služe kao izvor
energije, puno nukleotida, histamin i heparin. Od fizićkih osobina najvažnije je
ameboidno kretanje kojim prelaze iz krvi u tkiva.
![]()
Oblik leukocita se razlikuje. Svi leukociti perifrne krvi su okruglog oblika. Granulasti u citoplazmi imaju specifične granule koje se boje kiselim i baznim bojama, a ima i neutralnih granula. Limfociti su okrugle stanice koje čine 1/3 leukocita preifrne krvi. Monociti su najmanje zastupljeni i jedro im može biti različitog oblika. Osnovne ćelijske oraganele su citoplazma i jedro. Postoje 3 vrste leukocita:
1) GRANULOCITI (najbrojniji leukociti) mogu biti:
a) neutrofilne - ima ih oko 60%, neobojeni su, sitni te veoma pokretni. Sadrže niz enzima koji učestvuju u razgradnji fagocitiranih tvari, kao npr. amilaza, nukleaza, katalaza...
b) eozinofilni - ima ih 2-4%. Manje su pokretni od neutrofila. Sadrže histamin, te učestvuju u alergijskim reakcijama.

c) bazofilni - ima ih do 5%, modra zrnca, nejednake veličine. U zrncima je pothranjena tvar koju nazivamo heparin koja sprečava proces zgrušavanja krvi u krvotoku.

2) LIMFOCITI - ima ih oko 30%. Promjer im je oko 8-12 mikrometara. Imaju veliko okruglo jedro i oskudnu citoplazmu. One su pokretne ćelije. Funkcija limfocita je stvaranje globulina, a imaju i važnu ulogu u imunološkoj odbrani organizma jer su im antitijela pretežno gama-globulini. Stvaranje i propadanje limfocita je veoma brzo, te se čitava populacija može izmijeniti u roku od 24 sata.

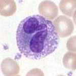
3) MONOCITI - ima ih oko 6%. Promjer im je oko 10-24 mikrometra, te imaju veliku, većinom režnjasto jedro, bubrežasta oblika. Oni su takođe pokretne stanice, a glavna funkcija im je fagocitoza.

![]() |
![]() |
![]() |
![]() |
![]() |
![]() |