|
|
- Encefalitis je akutna upala mozga.
Encefalitis sa meningitisom, upalom moždanih ovojnica, je poznat kao
meningoencefalitis. Simptomi vezani za encefalitis su glavobolja,
groznica, zbunjenost, somnolencija i letargija. Ozbiljniji simptomi
uključuju napade ili konvulzije, tremore, halucinacije i probleme sa
pamćenjem. Encefalitis može biti uzrokovan različitim
mikroorganizmima (virusima, bakterijama ili parazitima), stoga su i
putevi zaraze različiti, ovisno o uzročniku.
|

|
Mozak osoba koje boluju od encefalitisa |
|
-
Meningitis je
upala zaštitnih membrana
mozga i , koje se stručno nazivaju meninge (moždane ovojnice). Upalu
mogu da izazovu virusi, bakterije, kao i drugi mikroorganizmi, ali
može da bude i posljedica uzimanja lijekova ili drugih oboljenja.
Meningitis može da bude fatalan i zato se smatra urgentnim stanjem u
medicini. Najčešći simptomi meningitisa su: glavobolja i ukočenost
vrata, obično u kombinaciji sa groznicom, pomućenom sviješću i
netolerancijom na jaku svjetlost (fotofobija) ili zvuk (fonofobija).
Kožni osip je indikacija meningokokalnog meningitisa.
|
|
- Minamata sindrom je neurološki
poremećaj izazvan teškim trovanjem živom. Simptomi uključuju
ataksiju, utrnutost ruku i stopala, opštu mišićnu slabost, suženje
vidnog polja, oštećenje sluha i otežan govor. U ekstremnim
slučajevima nastupaju ludilo, paraliza, koma i smrt. Također su
moguće pojave malformacija na fetusu.
|
|
- Moždani udar, cerebrovaskularni insult
označava prestanak funkcionisanja određenih grupa moždanih ćelija
(oštećenje moždanog parenhima), a nastaje usljed nedostatka
hranljivih materija i/ili kisika. Nedostatak ovih materija se javlja
kao posljedica poremećaja krvotoka usljed začepljenja krvnih sudova
ili usljed njihovog prskanja i izliva krvi u moždano tkivo ili
moždane ovojnice
|

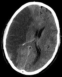
| CT snimak
mozga za vrijeme mozdanog udara |
|
- Multipla skleroza (MS), (lat.
Sclerosis multiplex) je neurodegenerativno oboljenje i autoimuna
bolest koja prvenstveno „napada“ bijelu masu centralnog nervnog
sistema. Multipla skleroza zahvata aksone, dugačke produžetke nervne
ćelije, na kojima pojedini dijelovi mijelinskog omotača upalno
reaguju i propadaju. Stoga se multipla skleroza smatra upalnom,
demijelinizirajućom bolešću izazvanom imunološkim promjenama
nepoznate etiologije.
<< POVRATAK NA
POČETAK STRANICE
|
 |
|